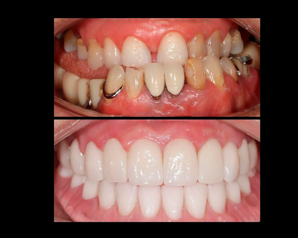
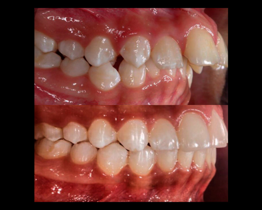
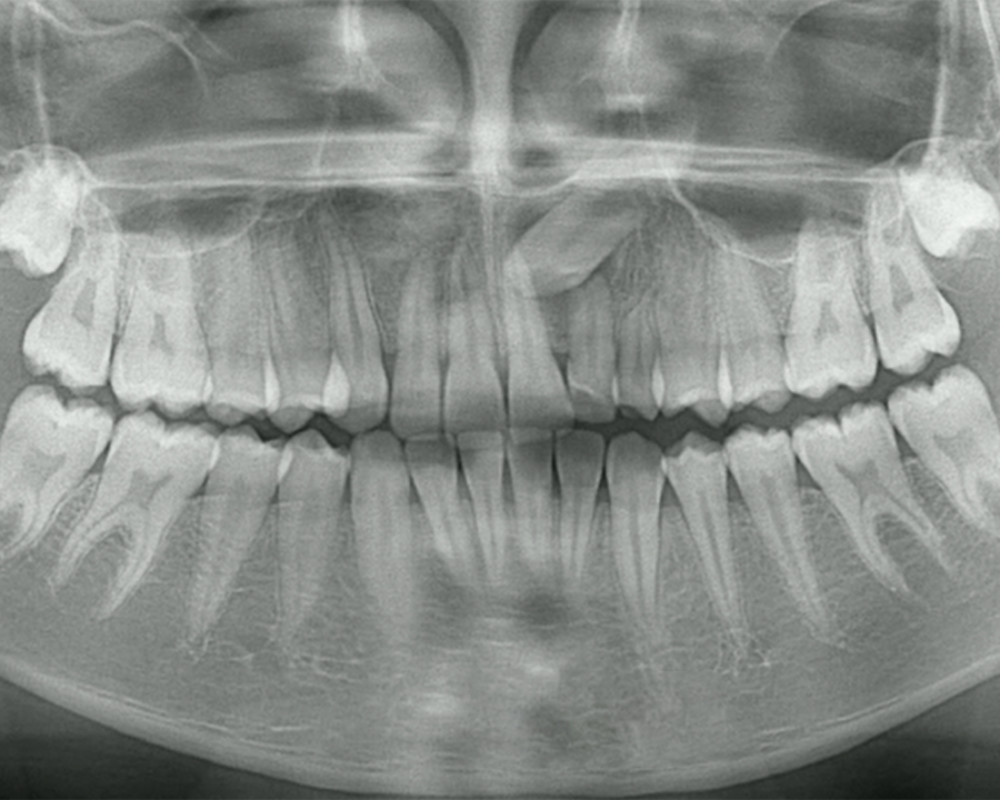
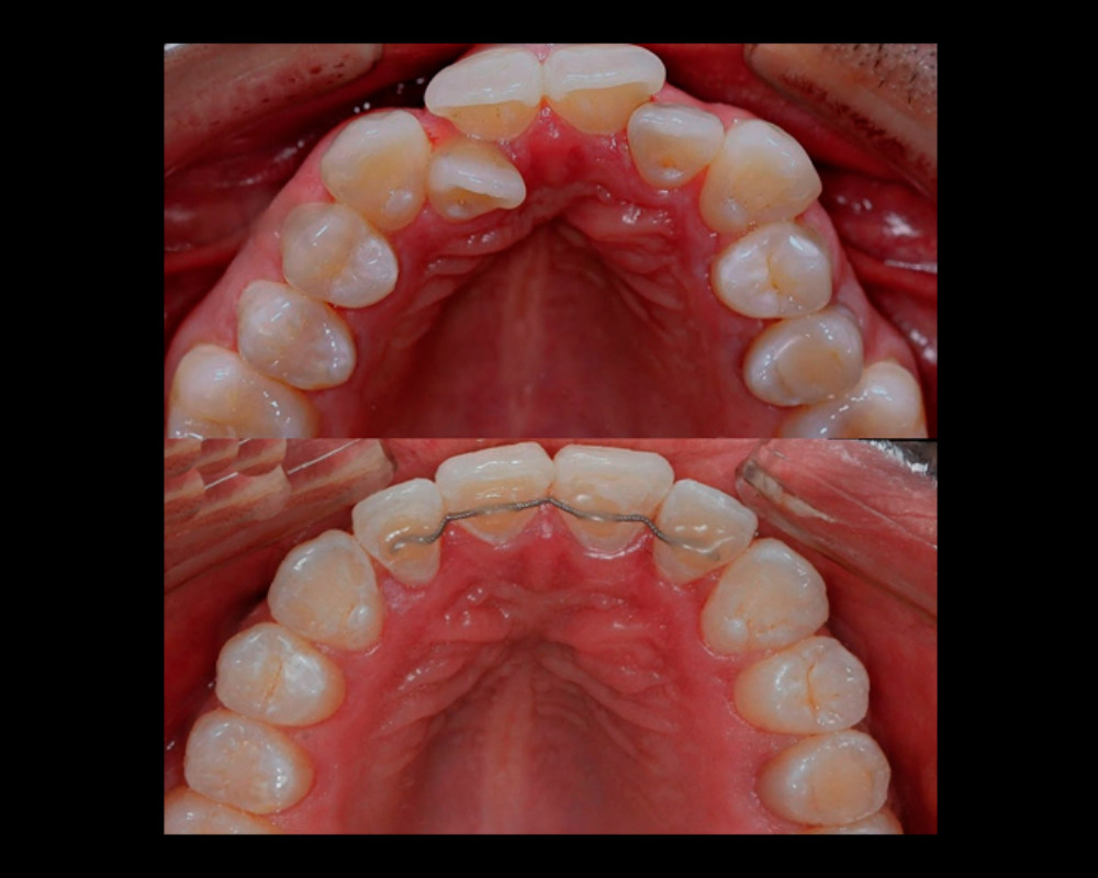
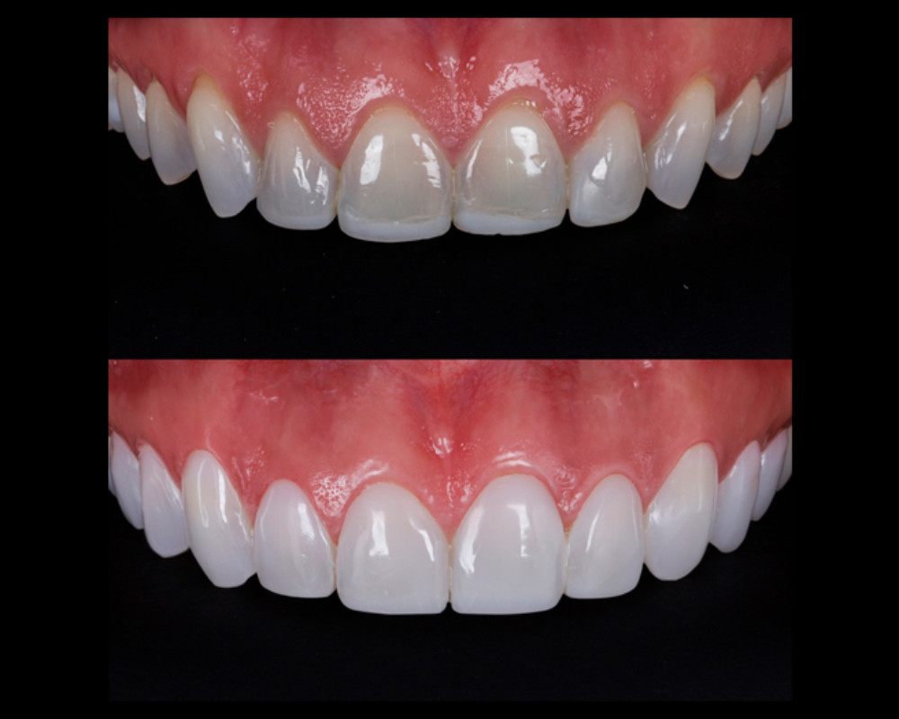
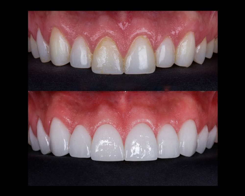
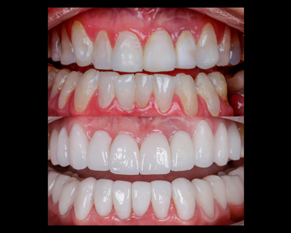
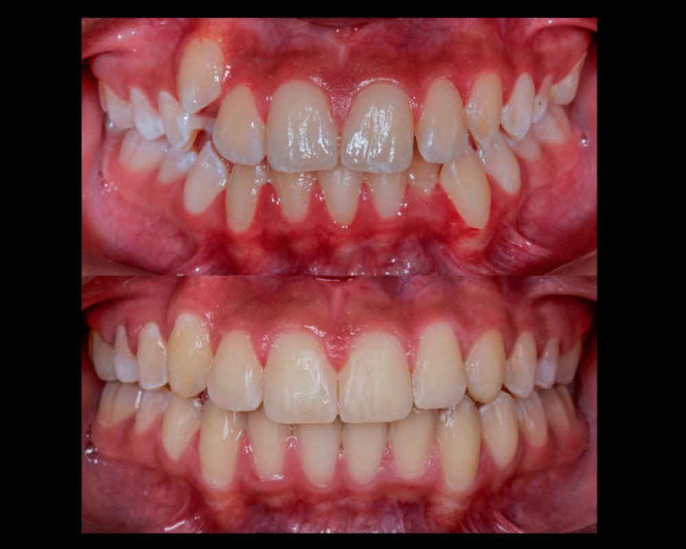
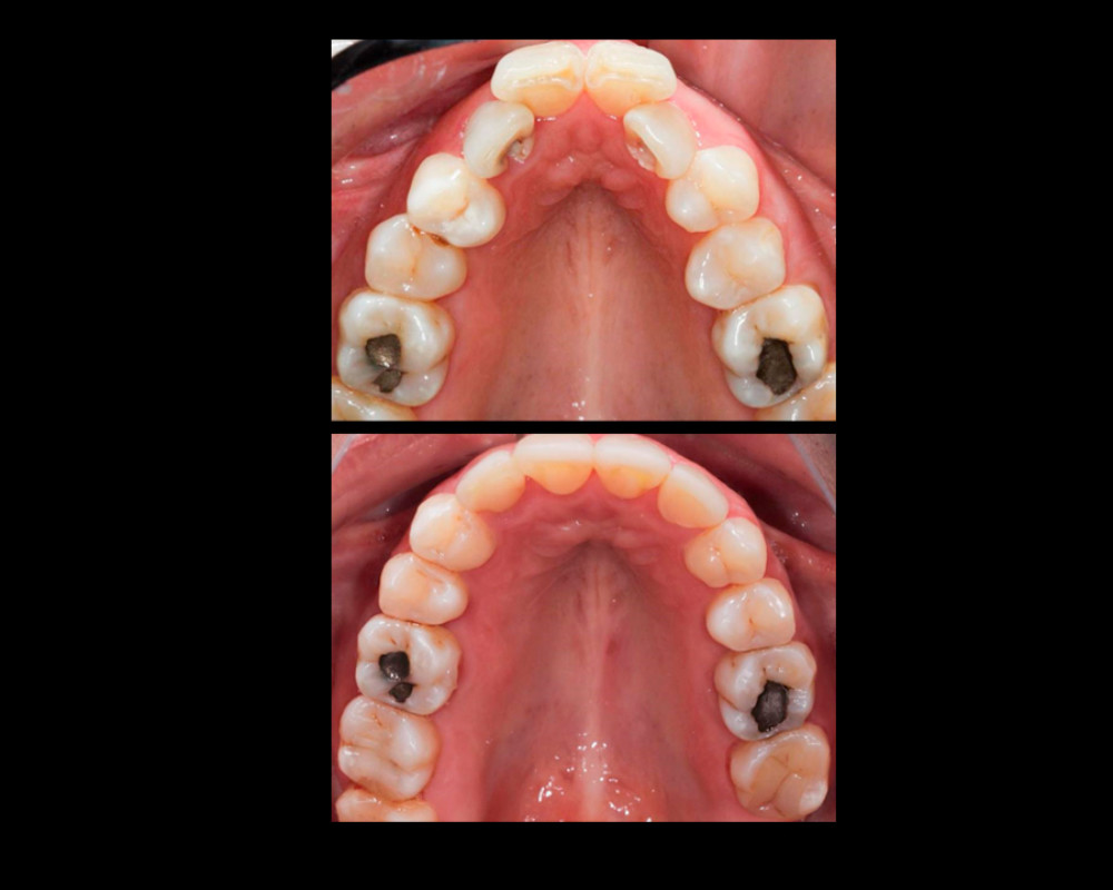
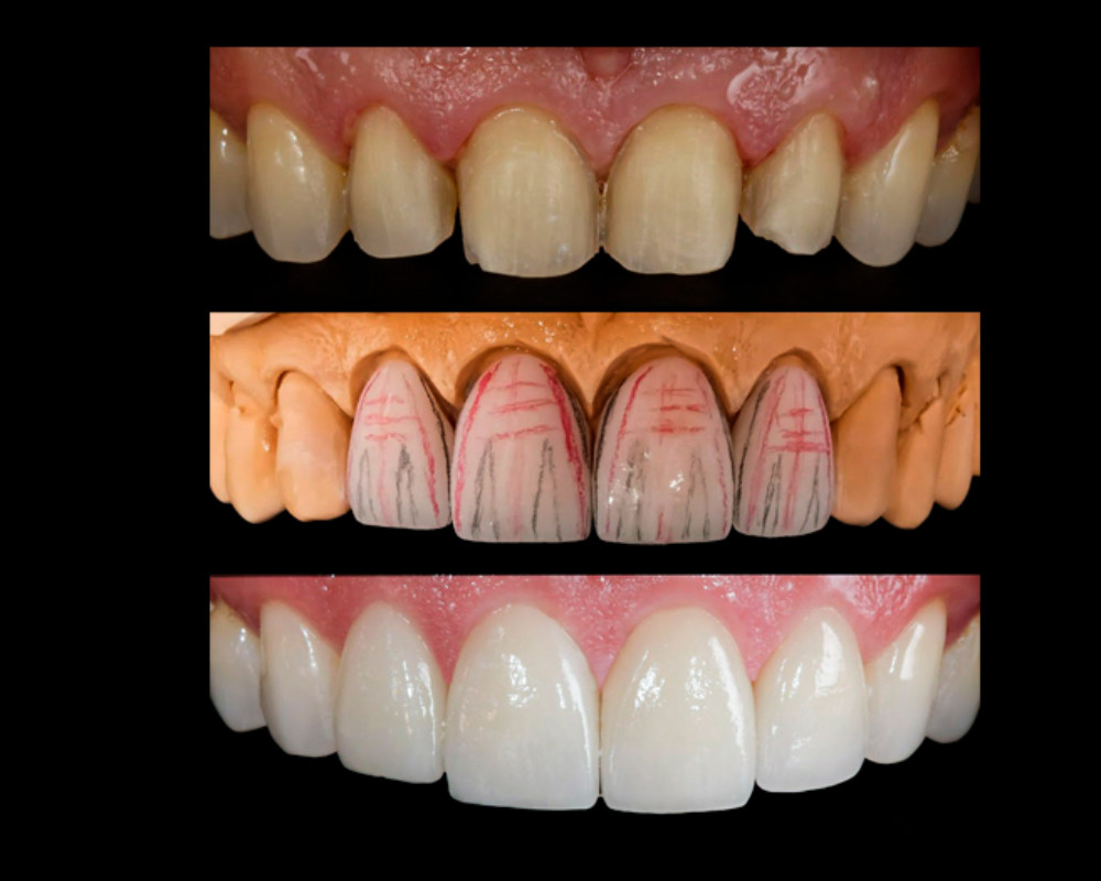
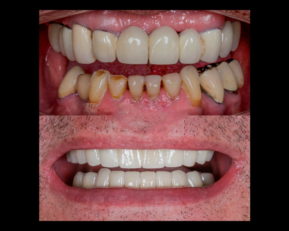
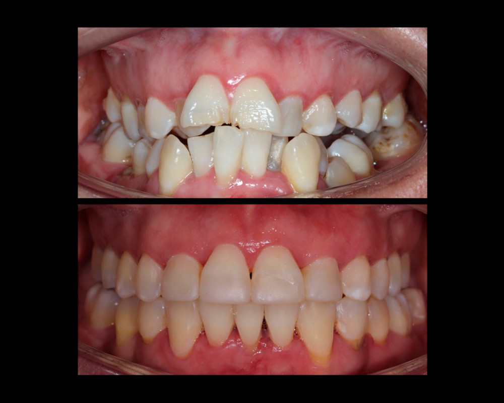
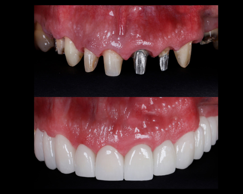
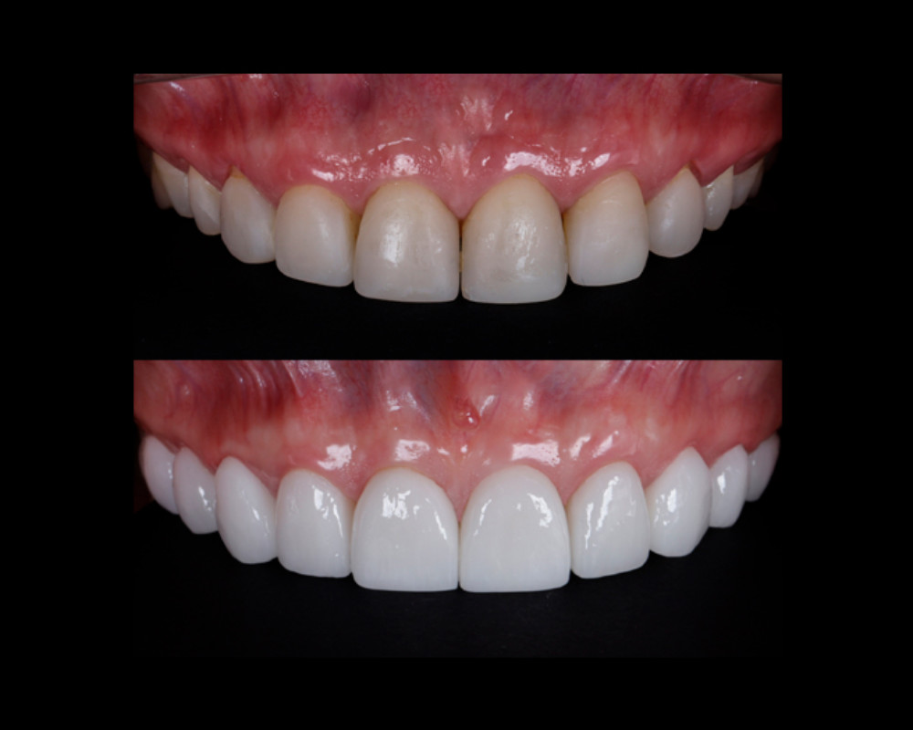
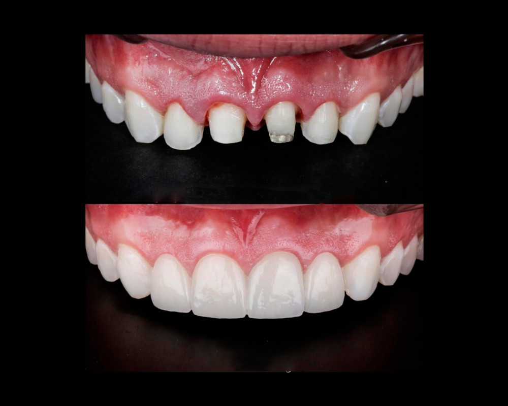
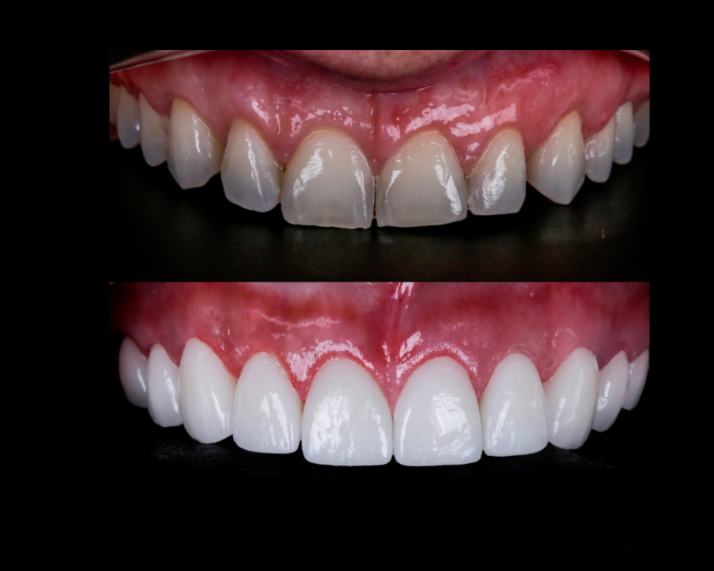
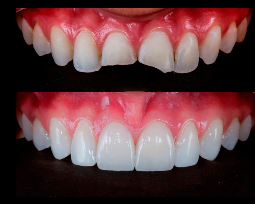
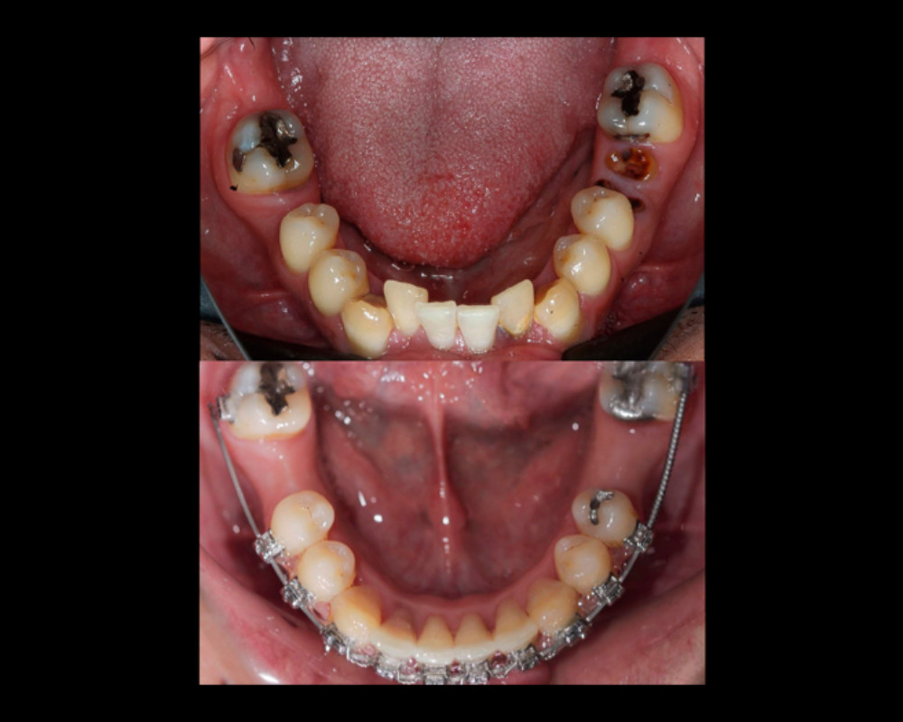
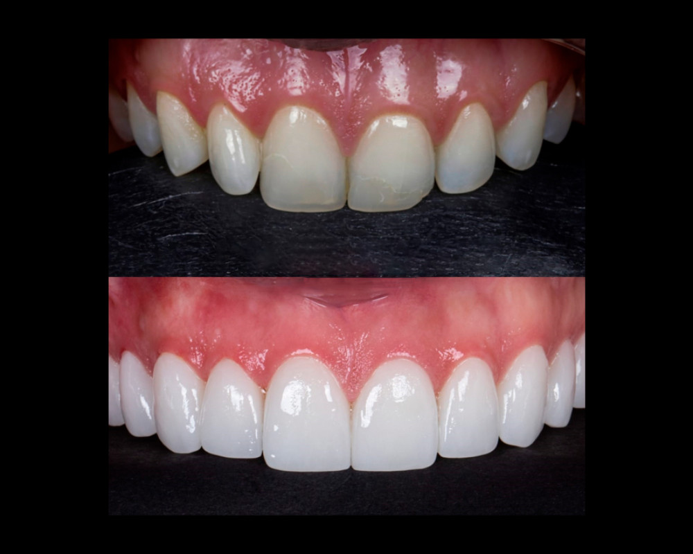
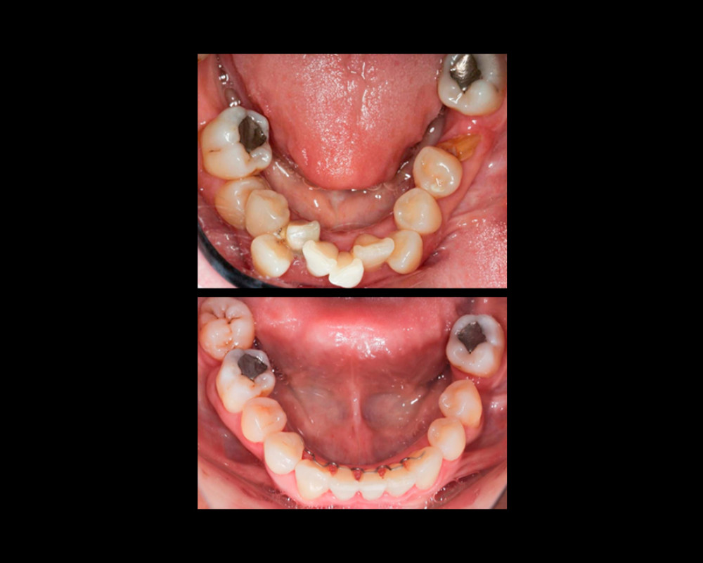
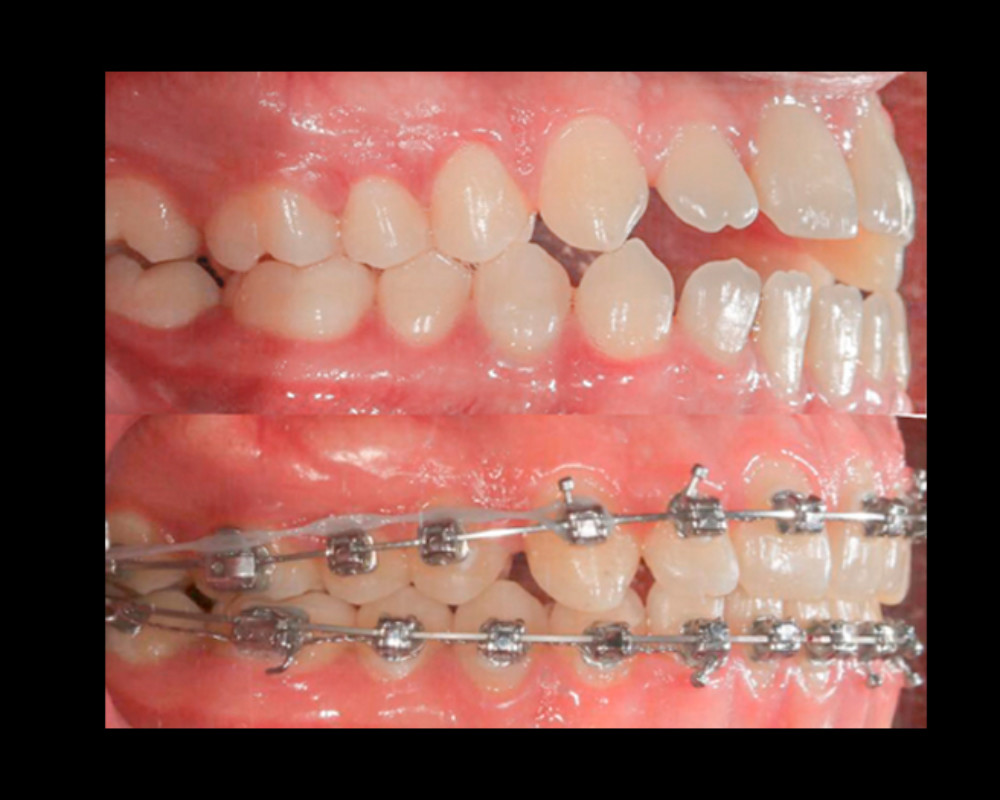
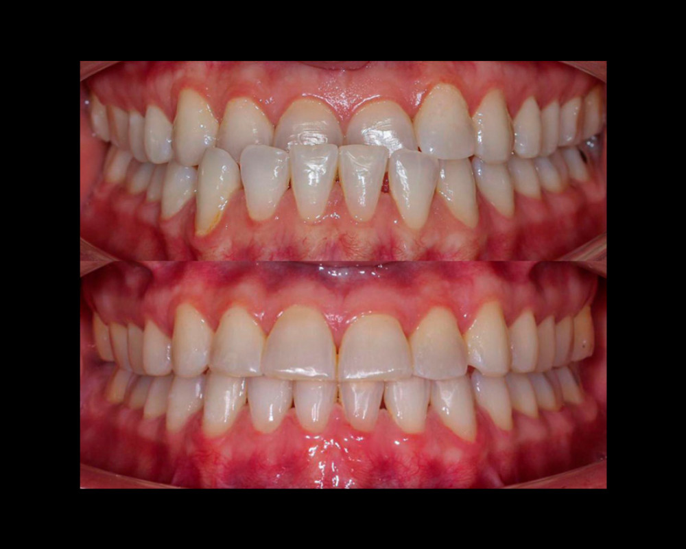
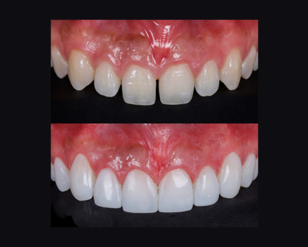
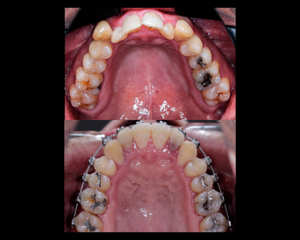
Resultados exitosos

Contact

Sede Bogotá – Cedritos | Av 19 No. 134 -38 Tel: (601) 7557318 | Celular +57 311 480 3538
Sede Medellín – Calasanz | Cra 80 N. 49-57 | Tel: (604) 3629349  | Celular +57 304 583 3226

[elfsight_whatsapp_chat id=”1″]
Contact
es_ESEspañol